CCT Japan 2001 Live Case Demonstration |
Case K-1
|
![]() |
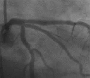
| Diagnosis: AP, DVD
Present Illness: '93.1~ AP '94.10 DCA for #1 & #7 '95.3 CBA for #6-7 '95.7 DCA & Stenting for #6 |
|
| Coronary Risk Factor: HL, smoking |
|
| Final CAG Findings: '01.8.28 LVG: no asynergy, EF: 61% CAG: #5 ostial 75%, #6 ostial 90% |
|
|
|
Flexicut L |
|
K-1 : 6 months follow-up angio
|
|
![]() |
![]() |
|
|
| 1. LMT Cases | I-2 |
||||||
| 2. CTO Cases | A-3 | A-9 | G-3 |
I-1 |
I-3 |
J-2 |
J-3 |
| 3. DCA Cases | A-1 |
A-5 |
A-6 |
D-1 |
D-2 |
D-3 |
|
| E-1 |
E-3 |
E-4 | I-5 |
I-7 |
J-4 |
J-5 |
|
| K-1 |
K-2 |
K-3 |
|||||
| 4. Rotablator Cases | A-2 |
A-4 | B-3 |
E-2 |
H-1 | H-2 | H-3 |
| 5. Cutting Balloon Cases | B-1 |
C-1 |
C-2 | F-1 |
F-2 |
F-3 | I-6 |
| J-6 |
|||||||
| 6. Stenting Alone Cases | A-7 |
A-8 |
G-1 |
G-2 |
|||
| 7. ACS Cases | B-2 | ||||||
| 8. Others | I-4 |
J-1 |
|||||
| -- return to index page |