CCT Japan 2001 Live Case Demonstration |
Case J-4
|
![]() |
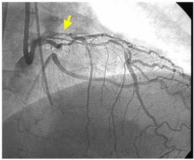
| Diagnosis: OMI (I&L), AP, SVD
Present Illness: '01.6.12 CAG as follows '01.8.25 PTCA for #1 and #11 |
|
| Coronary Risk Factor: HT, DM, HL |
|
| Final CAG Findings:'01.6.12 LVG: asynergy (I), EF: 48% CAG: #1 100%, #11 100% #6 90%, #7 90% |
|
|
|
|
|
|
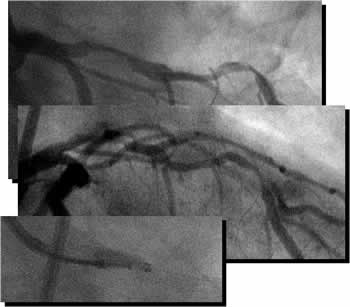
3.0mm/28mm Rota Stenting for Distal Lesion |
J-4 : 3 months follow-up angio
|
|
| 1. LMT Cases | I-2 |
||||||
| 2. CTO Cases | A-3 | A-9 | G-3 |
I-1 |
I-3 |
J-2 |
J-3 |
| 3. DCA Cases | A-1 |
A-5 |
A-6 |
D-1 |
D-2 |
D-3 |
|
| E-1 |
E-3 |
E-4 | I-5 |
I-7 |
J-4 |
J-5 |
|
| K-1 |
K-2 |
K-3 |
|||||
| 4. Rotablator Cases | A-2 |
A-4 | B-3 |
E-2 |
H-1 | H-2 | H-3 |
| 5. Cutting Balloon Cases | B-1 |
C-1 |
C-2 | F-1 |
F-2 |
F-3 | I-6 |
| J-6 |
|||||||
| 6. Stenting Alone Cases | A-7 |
A-8 |
G-1 |
G-2 |
|||
| 7. ACS Cases | B-2 | ||||||
| 8. Others | I-4 |
J-1 |
|||||
| -- return to index page |