CCT Japan 2001 Live Case Demonstration |
Case I-3
|
![]() |
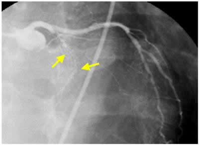
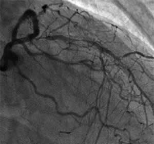
| Diagnosis: OMI (A), AP, SVD
Present Illness: '97.9 AMI (A) '00.11~ AP '00.12.13 Stenting for LCX '01.1.24 Stenting for #6 PCI for #7 CTO (unsuccess) '01.5.9 POBA+stenting for #6 distal |
|
| Coronary Risk Factor: DM |
|
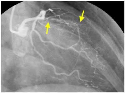
| Final CAG Findings:'01.9.5 LVG: asynergy (A), EF: 71% CAG: #6 90% (ISR) #7 CTO (collateral from RCA) |
Control |
Final |
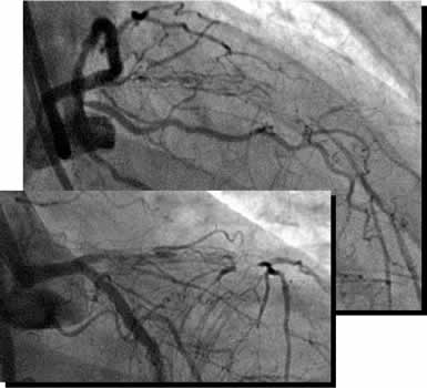
![]() Flexicut M |
![]() POBA 3.5mm@16atm |
![]() Stent 3.5mm/18mm |
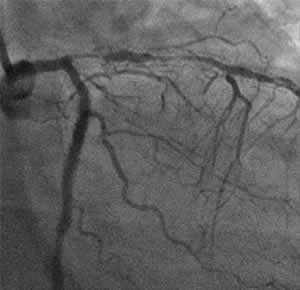
I-3 : months follow-up angio
|
|
![]() |
![]() |
| 1. LMT Cases | I-2 |
||||||
| 2. CTO Cases | A-3 | A-9 | G-3 |
I-1 |
I-3 |
J-2 |
J-3 |
| 3. DCA Cases | A-1 |
A-5 |
A-6 |
D-1 |
D-2 |
D-3 |
|
| E-1 |
E-3 |
E-4 | I-5 |
I-7 |
J-4 |
J-5 |
|
| K-1 |
K-2 |
K-3 |
|||||
| 4. Rotablator Cases | A-2 |
A-4 | B-3 |
E-2 |
H-1 | H-2 | H-3 |
| 5. Cutting Balloon Cases | B-1 |
C-1 |
C-2 | F-1 |
F-2 |
F-3 | I-6 |
| J-6 |
|||||||
| 6. Stenting Alone Cases | A-7 |
A-8 |
G-1 |
G-2 |
|||
| 7. ACS Cases | B-2 | ||||||
| 8. Others | I-4 |
J-1 |
|||||
| -- return to index page |