CCT Japan 2001 Live Case Demonstration |
Case A-4
|
![]() ![]() |
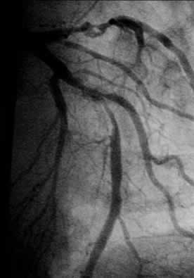
| Diagnosis: OMI, AP, DVD Present Illness: '01.1.25 AMI '01.8.23 POBA for #13 '01.10.1 AMI, POBA for #2 |
|
| Coronary Risk Factors: Smoking |
|
| Final CAG Findings:'01.10.1 CAG&PCI: POBA for #2 #7 90% (severe calcified) |
![]() Control |
LAD: 2.15mm Diagonal: 1.75mm |
![]() Final |
|
KBT LAD: 3.5mm Diagonal: 2.5mm |
|
| 1. LMT Cases | I-2 |
||||||
| 2. CTO Cases | A-3 | A-9 | G-3 |
I-1 |
I-3 |
J-2 |
J-3 |
| 3. DCA Cases | A-1 |
A-5 |
A-6 |
D-1 |
D-2 |
D-3 |
|
| E-1 |
E-3 |
E-4 | I-5 |
I-7 |
J-4 |
J-5 |
|
| K-1 |
K-2 |
K-3 |
|||||
| 4. Rotablator Cases | A-2 |
A-4 | B-3 |
E-2 |
H-1 | H-2 | H-3 |
| 5. Cutting Balloon Cases | B-1 |
C-1 |
C-2 | F-1 |
F-2 |
F-3 | I-6 |
| J-6 |
|||||||
| 6. Stenting Alone Cases | A-7 |
A-8 |
G-1 |
G-2 |
|||
| 7. ACS Cases | B-2 | ||||||
| 8. Others | I-4 |
J-1 |
|||||
| -- return to index page |