![]() |
![]() |
![]() |
![]() |
![]() |
![]() |
![]() |
![]() |
![]() |
![]() |
||
![]() |
![]() |
![]() |
![]() |
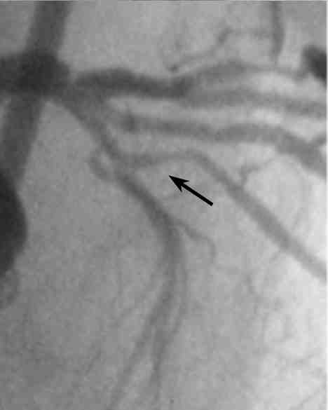
Figure 2: Patient with Chronic Total Occlusion in proximal LAD
This CTO is located immediately after the bifurcation of the diagonal, and though
it is unclear how long it has been occluded, the patients medical history suggests
that it may be a number of years. CAG does not clearly identify the CTO ostium,
(white arrows show an area that looks like the entry but black arrows show an
actual dimple). It is only by the AP cranial view that the dimple be seen at
all, and that only when viewed by frame by frame slow motion. This could easily
be missed under normal CAG.